Horse Hoof Sloughing Off . if a horse's hoof begins to detach or slough off, it is crucial to seek immediate veterinary care. Eventually he was lame on the hind leg. The outer part of the horse’s hoof is known as the hoof wall. we just lost a stallion today. resolving horse hoof wounds requires working closely with your veterinarian to manage lesions until they heal. the pics didn't turn out that great, but it kind of looks like the hooves (at least the back right) is sloughing. Learn about 4 common hoof. But we woke up in the morning to find the area. This is a hard keratin surface that’s consistently growing, and it grows from the coronet.
from formahoof.com
Learn about 4 common hoof. But we woke up in the morning to find the area. Eventually he was lame on the hind leg. This is a hard keratin surface that’s consistently growing, and it grows from the coronet. we just lost a stallion today. the pics didn't turn out that great, but it kind of looks like the hooves (at least the back right) is sloughing. resolving horse hoof wounds requires working closely with your veterinarian to manage lesions until they heal. if a horse's hoof begins to detach or slough off, it is crucial to seek immediate veterinary care. The outer part of the horse’s hoof is known as the hoof wall.
Lost Hoof Capsule Recovery with FormaHoof A Miracle Story
Horse Hoof Sloughing Off Learn about 4 common hoof. The outer part of the horse’s hoof is known as the hoof wall. Learn about 4 common hoof. Eventually he was lame on the hind leg. if a horse's hoof begins to detach or slough off, it is crucial to seek immediate veterinary care. This is a hard keratin surface that’s consistently growing, and it grows from the coronet. But we woke up in the morning to find the area. the pics didn't turn out that great, but it kind of looks like the hooves (at least the back right) is sloughing. resolving horse hoof wounds requires working closely with your veterinarian to manage lesions until they heal. we just lost a stallion today.
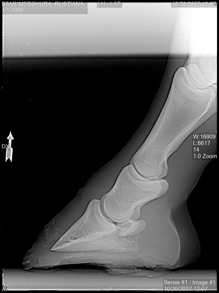
From forums.horsecity.com
Sloughing a hoof... or not? New pics Horse Hoof HorseCity Forums Horse Hoof Sloughing Off Eventually he was lame on the hind leg. The outer part of the horse’s hoof is known as the hoof wall. resolving horse hoof wounds requires working closely with your veterinarian to manage lesions until they heal. if a horse's hoof begins to detach or slough off, it is crucial to seek immediate veterinary care. we just. Horse Hoof Sloughing Off.
From formahoof.com
Lost Hoof Capsule Recovery with FormaHoof A Miracle Story Horse Hoof Sloughing Off we just lost a stallion today. But we woke up in the morning to find the area. This is a hard keratin surface that’s consistently growing, and it grows from the coronet. the pics didn't turn out that great, but it kind of looks like the hooves (at least the back right) is sloughing. resolving horse hoof. Horse Hoof Sloughing Off.
From www.animalia-life.club
Horse Hoof Running Horse Hoof Sloughing Off Learn about 4 common hoof. resolving horse hoof wounds requires working closely with your veterinarian to manage lesions until they heal. This is a hard keratin surface that’s consistently growing, and it grows from the coronet. we just lost a stallion today. But we woke up in the morning to find the area. The outer part of the. Horse Hoof Sloughing Off.
From formahoof.com
Lost Hoof Capsule Recovery with FormaHoof A Miracle Story Horse Hoof Sloughing Off resolving horse hoof wounds requires working closely with your veterinarian to manage lesions until they heal. But we woke up in the morning to find the area. if a horse's hoof begins to detach or slough off, it is crucial to seek immediate veterinary care. This is a hard keratin surface that’s consistently growing, and it grows from. Horse Hoof Sloughing Off.
From www.trustalchemy.com
Hoof Hoove Heel Shoes Guide Sewing & Fiber Sewing & Needlecraft Horse Hoof Sloughing Off But we woke up in the morning to find the area. the pics didn't turn out that great, but it kind of looks like the hooves (at least the back right) is sloughing. resolving horse hoof wounds requires working closely with your veterinarian to manage lesions until they heal. Eventually he was lame on the hind leg. Web. Horse Hoof Sloughing Off.
From www.theequinedocumentalist.com
WetDry Cycles Effect on the Hoof Horse Hoof Sloughing Off if a horse's hoof begins to detach or slough off, it is crucial to seek immediate veterinary care. The outer part of the horse’s hoof is known as the hoof wall. This is a hard keratin surface that’s consistently growing, and it grows from the coronet. the pics didn't turn out that great, but it kind of looks. Horse Hoof Sloughing Off.
From www.reddit.com
I don't want to know how long this took r/pcmasterrace Horse Hoof Sloughing Off if a horse's hoof begins to detach or slough off, it is crucial to seek immediate veterinary care. This is a hard keratin surface that’s consistently growing, and it grows from the coronet. resolving horse hoof wounds requires working closely with your veterinarian to manage lesions until they heal. the pics didn't turn out that great, but. Horse Hoof Sloughing Off.
From blog.easycareinc.com
Natural Hoof Care in the UK EasyCare Horse Hoof Sloughing Off we just lost a stallion today. if a horse's hoof begins to detach or slough off, it is crucial to seek immediate veterinary care. But we woke up in the morning to find the area. Eventually he was lame on the hind leg. the pics didn't turn out that great, but it kind of looks like the. Horse Hoof Sloughing Off.
From www.youtube.com
Full horse hoof restoration YouTube Horse Hoof Sloughing Off resolving horse hoof wounds requires working closely with your veterinarian to manage lesions until they heal. we just lost a stallion today. Eventually he was lame on the hind leg. But we woke up in the morning to find the area. Learn about 4 common hoof. The outer part of the horse’s hoof is known as the hoof. Horse Hoof Sloughing Off.
From insiderhorse.com
10 Fun Facts On The Horse’s Hooves That You Should Know Insider Horse Horse Hoof Sloughing Off The outer part of the horse’s hoof is known as the hoof wall. Eventually he was lame on the hind leg. Learn about 4 common hoof. This is a hard keratin surface that’s consistently growing, and it grows from the coronet. resolving horse hoof wounds requires working closely with your veterinarian to manage lesions until they heal. if. Horse Hoof Sloughing Off.
From www.mannapro.com
No Hoof, No Horse! 8 Spring Horse Hoof Care Tips Horse Hoof Sloughing Off if a horse's hoof begins to detach or slough off, it is crucial to seek immediate veterinary care. This is a hard keratin surface that’s consistently growing, and it grows from the coronet. resolving horse hoof wounds requires working closely with your veterinarian to manage lesions until they heal. the pics didn't turn out that great, but. Horse Hoof Sloughing Off.
From www.pinterest.co.uk
Hoof balance Horse health, Hooves, Horse care Horse Hoof Sloughing Off But we woke up in the morning to find the area. we just lost a stallion today. resolving horse hoof wounds requires working closely with your veterinarian to manage lesions until they heal. Learn about 4 common hoof. The outer part of the horse’s hoof is known as the hoof wall. the pics didn't turn out that. Horse Hoof Sloughing Off.
From dreamstime.com
Horse's Hoof On Sand Stock Photo Image 44910189 Horse Hoof Sloughing Off if a horse's hoof begins to detach or slough off, it is crucial to seek immediate veterinary care. we just lost a stallion today. Learn about 4 common hoof. Eventually he was lame on the hind leg. This is a hard keratin surface that’s consistently growing, and it grows from the coronet. But we woke up in the. Horse Hoof Sloughing Off.
From forestparkgolfcourse.com
What Are All The Different Parts Of The Horse’s Hoof? A Detailed Guide Horse Hoof Sloughing Off But we woke up in the morning to find the area. resolving horse hoof wounds requires working closely with your veterinarian to manage lesions until they heal. This is a hard keratin surface that’s consistently growing, and it grows from the coronet. the pics didn't turn out that great, but it kind of looks like the hooves (at. Horse Hoof Sloughing Off.
From www.youtube.com
Horse Hoof Bruising YouTube Horse Hoof Sloughing Off if a horse's hoof begins to detach or slough off, it is crucial to seek immediate veterinary care. Eventually he was lame on the hind leg. resolving horse hoof wounds requires working closely with your veterinarian to manage lesions until they heal. we just lost a stallion today. This is a hard keratin surface that’s consistently growing,. Horse Hoof Sloughing Off.
From www.youtube.com
This Horses Frog Is Just Peeling Away. (Hoof Restoration) YouTube Horse Hoof Sloughing Off we just lost a stallion today. But we woke up in the morning to find the area. The outer part of the horse’s hoof is known as the hoof wall. the pics didn't turn out that great, but it kind of looks like the hooves (at least the back right) is sloughing. Eventually he was lame on the. Horse Hoof Sloughing Off.
From www.reddit.com
Last year, my guy had a string of illnesses/injuries including this Horse Hoof Sloughing Off But we woke up in the morning to find the area. The outer part of the horse’s hoof is known as the hoof wall. the pics didn't turn out that great, but it kind of looks like the hooves (at least the back right) is sloughing. if a horse's hoof begins to detach or slough off, it is. Horse Hoof Sloughing Off.
From www.thoroughbreddailynews.com
It's All about Sole Horse Hoof Sloughing Off Eventually he was lame on the hind leg. the pics didn't turn out that great, but it kind of looks like the hooves (at least the back right) is sloughing. if a horse's hoof begins to detach or slough off, it is crucial to seek immediate veterinary care. we just lost a stallion today. resolving horse. Horse Hoof Sloughing Off.